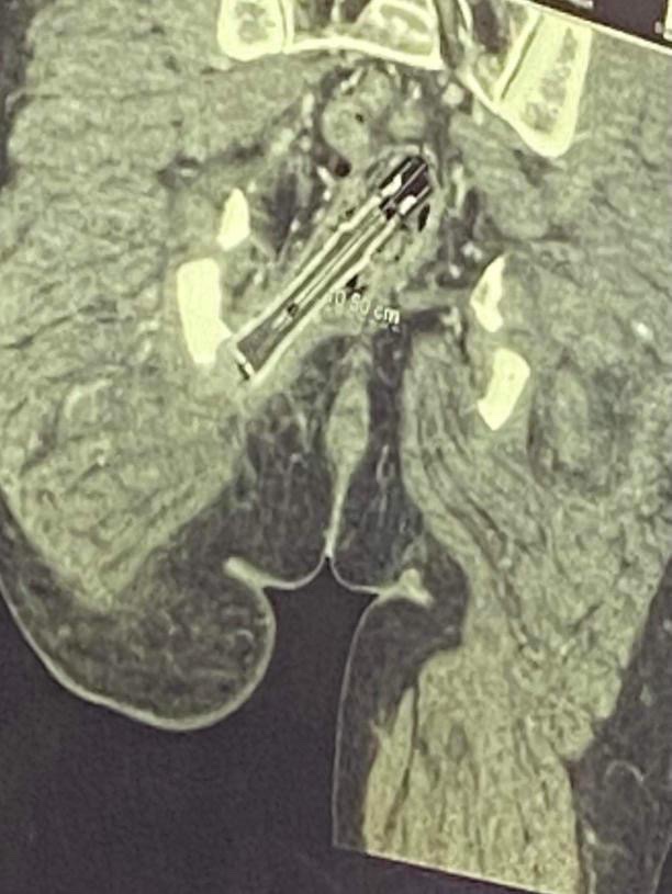
Intrabladder Device Gallery Intrabladder Device By Nicole Angemi|2025-09-15T14:50:36-04:00March 23rd, 2022|The Gross Room, MEDICAL, FREAK ACCIDENT, Foreign Bodies, Women's Health| Read More 23
Lingering Effects of War Gallery Lingering Effects of War By Nicole Angemi|2025-09-15T14:56:51-04:00March 23rd, 2022|The Gross Room, FREAK ACCIDENT, Foreign Bodies, Explosives| Read More 5
Prison Love Gallery Prison Love By Nicole Angemi|2025-09-15T15:05:11-04:00March 3rd, 2022|Foreign Bodies, Sex Injuries, The Gross Room, FREAK ACCIDENT| Read More 20
Weatherproof Wang Gallery Weatherproof Wang By Nicole Angemi|2025-10-02T10:10:05-04:00February 18th, 2022|The Gross Room, FREAK ACCIDENT, Foreign Bodies, Sex Injuries| Read More 53
Pearls of Wisdom Gallery Pearls of Wisdom By Nicole Angemi|2025-10-02T10:20:55-04:00February 11th, 2022|MEDICAL, FREAK ACCIDENT, Foreign Bodies, Sex Injuries, The Gross Room| Read More 43
Date Vape Gallery Date Vape By Nicole Angemi|2025-10-02T11:08:26-04:00November 6th, 2021|The Gross Room, FREAK ACCIDENT, Foreign Bodies, Sex Injuries| Read More 20
Poopy Tip Gallery Poopy Tip By Nicole Angemi|2025-10-02T11:18:25-04:00October 16th, 2021|The Gross Room, FREAK ACCIDENT, Foreign Bodies, Sex Injuries| Read More 29
Forensic Friday: Pica Gallery Forensic Friday: Pica By Nicole Angemi|2025-10-02T11:20:57-04:00October 8th, 2021|FREAK ACCIDENT, Foreign Bodies, The Gross Room| Read More 44
Anal Probe Gallery Anal Probe By Nicole Angemi|2026-01-05T14:05:15-05:00September 23rd, 2021|The Gross Room, MEDICAL, Foreign Bodies, Self-Harm, Falls| Read More 26
10lb Cock Ring Gallery 10lb Cock Ring By Nicole Angemi|2026-01-05T14:25:07-05:00September 5th, 2021|The Gross Room, FREAK ACCIDENT, Foreign Bodies, Sex Injuries| Read More 26