Mystery Diagnosis: Vaginal Dehiscence! Gallery Mystery Diagnosis: Vaginal Dehiscence! By Nicole Angemi|2025-02-03T18:43:40-05:00February 3rd, 2025|The Gross Room, MEDICAL, Women's Health, Anatomy| Read More 18
Big Boob Gallery Big Boob By Nicole Angemi|2025-01-23T09:02:28-05:00January 23rd, 2025|Cancer, Women's Health, Tumors & Cysts, The Gross Room, MEDICAL| Read More 18
Uterine Rodeos Gallery Uterine Rodeos By Nicole Angemi|2024-12-08T19:13:36-05:00December 28th, 2024|The Gross Room, MEDICAL, Pregnancy, Women's Health, Anatomy| Read More 21
12 Years of Agony Gallery 12 Years of Agony By Nicole Angemi|2024-12-12T06:45:55-05:00December 12th, 2024|The Gross Room, MEDICAL, Women's Health, Tumors & Cysts| Read More 7
The Dreaded Vag Itch! Gallery The Dreaded Vag Itch! By Nicole Angemi|2024-12-03T09:30:55-05:00December 3rd, 2024|The Gross Room, MEDICAL, Pregnancy, Women's Health, Chronic Medical Conditions| Read More 33
Don’t Judge a Book By Its Cover Gallery Don’t Judge a Book By Its Cover By Nicole Angemi|2024-12-01T09:45:15-05:00December 1st, 2024|The Gross Room, MEDICAL, Pregnancy, Women's Health, Anatomy| Read More 25
What is it Wednesday Winner! Gallery What is it Wednesday Winner! By Nicole Angemi|2024-11-27T07:33:38-05:00November 27th, 2024|The Gross Room, MEDICAL, Pregnancy, Strangulation, Women's Health, TRUE CRIME| Read More 3
Side Effects Include… Gallery Side Effects Include… By Nicole Angemi|2024-11-17T11:23:11-05:00November 17th, 2024|The Gross Room, MEDICAL, Pregnancy, Congenital Anomaly, Women's Health| Read More 32
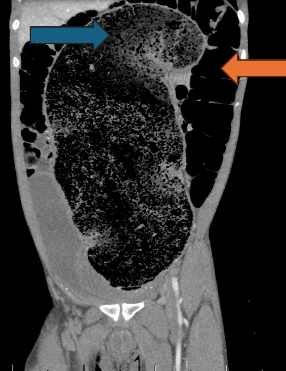
Backup to Blackout Gallery Backup to Blackout By Nicole Angemi|2024-11-03T09:23:32-05:00November 3rd, 2024|The Gross Room, MEDICAL, Women's Health, Anatomy, Chronic Medical Conditions, Men's Health| Read More 30
Permanent Pendulum Gallery Permanent Pendulum By Nicole Angemi|2024-10-20T05:19:24-04:00October 20th, 2024|The Gross Room, MEDICAL, Women's Health, Anatomy| Read More 13