New What is it Wednesday! Gallery New What is it Wednesday! By Nicole Angemi|2024-09-13T22:22:39-04:00June 12th, 2024|The Gross Room, GAMES| Read More 18
What is it Wednesday Winner! Gallery What is it Wednesday Winner! By Nicole Angemi|2024-09-13T22:22:39-04:00June 12th, 2024|The Gross Room, GAMES| Read More 6
Mystery Diagnosis: Hyperbilirubinemia! Gallery Mystery Diagnosis: Hyperbilirubinemia! By Nicole Angemi|2024-09-11T16:27:21-04:00June 10th, 2024|The Gross Room, MEDICAL, Mystery Diagnosis, GAMES| Read More 7
New What is it Wednesday! Gallery New What is it Wednesday! By Nicole Angemi|2024-09-13T22:22:39-04:00June 5th, 2024|The Gross Room, GAMES| Read More 36
What is it Wednesday Winner! Gallery What is it Wednesday Winner! By Nicole Angemi|2024-10-02T14:03:57-04:00June 5th, 2024|The Gross Room, MEDICAL, GAMES| Read More 11
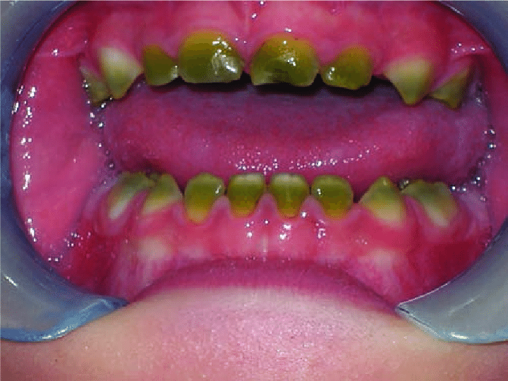
Mystery Diagnosis: Scurvy! Gallery Mystery Diagnosis: Scurvy! By Nicole Angemi|2024-09-11T16:27:21-04:00June 3rd, 2024|Mystery Diagnosis, GAMES, The Gross Room, MEDICAL| Read More 12
What is it Wednesday Winner! Gallery What is it Wednesday Winner! By Nicole Angemi|2024-10-02T14:04:44-04:00May 29th, 2024|The Gross Room, MEDICAL, GAMES| Read More 5
New What is it Wednesday! Gallery New What is it Wednesday! By Nicole Angemi|2024-09-13T22:22:39-04:00May 29th, 2024|The Gross Room, GAMES| Read More 34
Mystery Diagnosis: Urachal cyst! Gallery Mystery Diagnosis: Urachal cyst! By Nicole Angemi|2024-09-11T16:27:21-04:00May 27th, 2024|The Gross Room, Mystery Diagnosis, GAMES| Read More 10
New What is it Wednesday! Gallery New What is it Wednesday! By Nicole Angemi|2024-09-13T22:22:39-04:00May 22nd, 2024|GAMES, The Gross Room| Read More 30