Mystery Diagnosis: Microtia! Gallery Mystery Diagnosis: Microtia! By Nicole Angemi|2026-01-12T14:47:52-05:00January 12th, 2026|The Gross Room, MEDICAL, Mystery Diagnosis, Congenital Anomaly| Read More 1
Mystery Diagnosis: Fatty Cirrhosis Caused By Chronic Alcohol Abuse Gallery Mystery Diagnosis: Fatty Cirrhosis Caused By Chronic Alcohol Abuse By Nicole Angemi|2025-12-20T16:18:41-05:00December 22nd, 2025|The Gross Room, Mystery Diagnosis| Read More 6
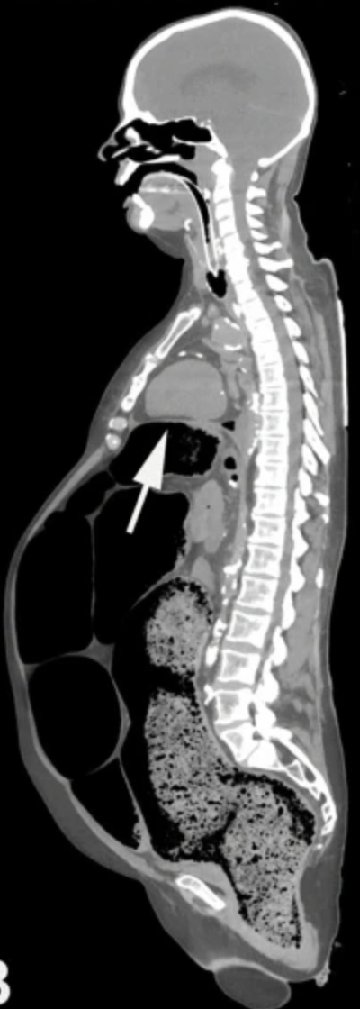
Mystery Diagnosis: Fatal Constipation! Gallery Mystery Diagnosis: Fatal Constipation! By Nicole Angemi|2025-12-15T16:03:46-05:00December 15th, 2025|The Gross Room, MEDICAL, Mystery Diagnosis, Chronic Medical Conditions| Read More 17
Mystery Diagnosis: Gonorrhea! Gallery Mystery Diagnosis: Gonorrhea! By Nicole Angemi|2025-11-24T14:38:57-05:00November 24th, 2025|MEDICAL, Mystery Diagnosis, Infection, Pregnancy, The Gross Room| Read More 6
Mystery Diagnosis: Umbilical cord torsion! Gallery Mystery Diagnosis: Umbilical cord torsion! By Nicole Angemi|2025-11-17T11:29:18-05:00November 17th, 2025|The Gross Room, MEDICAL, Mystery Diagnosis, Pregnancy, Congenital Anomaly| Read More 7
Mystery Diagnosis: Gummy Smile! Gallery Mystery Diagnosis: Gummy Smile! By Nicole Angemi|2025-11-10T10:23:57-05:00November 10th, 2025|The Gross Room, MEDICAL, Mystery Diagnosis, Plastic Surgery, Anatomy| Read More 8
Mystery Diagnosis: Giant Cell Tumor! Gallery Mystery Diagnosis: Giant Cell Tumor! By Nicole Angemi|2025-11-03T17:54:22-05:00November 3rd, 2025|The Gross Room, MEDICAL, Mystery Diagnosis, Tumors & Cysts| Read More 1
Mystery Diagnosis: Toxic Shock Syndrome! Gallery Mystery Diagnosis: Toxic Shock Syndrome! By Nicole Angemi|2025-10-20T20:25:34-04:00October 20th, 2025|The Gross Room, MEDICAL, Mystery Diagnosis, Infection, Tattoos & Body Modification| Read More 11
Mystery Diagnosis: Inhalation Burns! Gallery Mystery Diagnosis: Inhalation Burns! By Nicole Angemi|2025-10-13T20:13:47-04:00October 13th, 2025|FREAK ACCIDENT, Burns, The Gross Room, Mystery Diagnosis| Read More 7
Mystery Diagnosis: Plica neuropathica! Gallery Mystery Diagnosis: Plica neuropathica! By Nicole Angemi|2025-10-06T13:01:41-04:00October 6th, 2025|The Gross Room, MEDICAL, Mystery Diagnosis, Chronic Medical Conditions, Mental Health| Read More 6