Mystery Diagnosis: Histoplasmosis! Gallery Mystery Diagnosis: Histoplasmosis! By Nicole Angemi|2024-09-23T13:47:01-04:00September 23rd, 2024|The Gross Room, MEDICAL, Mystery Diagnosis, GAMES, Infection| Read More 7
New What is it Wednesday! Gallery New What is it Wednesday! By Nicole Angemi|2024-09-13T22:22:20-04:00September 11th, 2024|The Gross Room, GAMES| Read More 8
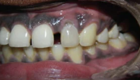
What is it Wednesday Winner! Gallery What is it Wednesday Winner! By Nicole Angemi|2024-09-13T22:22:20-04:00September 11th, 2024|The Gross Room, GAMES| Read More 2
Mystery Diagnosis: Migrated IUD! Gallery Mystery Diagnosis: Migrated IUD! By Nicole Angemi|2024-09-11T16:27:20-04:00September 9th, 2024|The Gross Room, MEDICAL, Mystery Diagnosis, GAMES| Read More 16
New What is it Wednesday! Gallery New What is it Wednesday! By Nicole Angemi|2024-09-13T22:22:20-04:00September 4th, 2024|The Gross Room, GAMES| Read More 29
What is it Wednesday Winner! Gallery What is it Wednesday Winner! By Nicole Angemi|2024-10-02T14:02:49-04:00September 4th, 2024|The Gross Room, MEDICAL, GAMES| Read More 7
Mystery Diagnosis: Coccidioidomycosis! Gallery Mystery Diagnosis: Coccidioidomycosis! By Nicole Angemi|2024-09-11T16:27:20-04:00September 2nd, 2024|The Gross Room, MEDICAL, Mystery Diagnosis, GAMES| Read More 13
New What is it Wednesday! Gallery New What is it Wednesday! By Nicole Angemi|2024-09-13T22:22:20-04:00August 28th, 2024|The Gross Room, GAMES| Read More 42
What is it Wednesday Winner! Gallery What is it Wednesday Winner! By Nicole Angemi|2024-10-02T14:02:49-04:00August 28th, 2024|The Gross Room, MEDICAL, GAMES| Read More 2
Mystery Diagnosis: Lead Line! Gallery Mystery Diagnosis: Lead Line! By Nicole Angemi|2024-10-02T13:33:48-04:00August 26th, 2024|Mystery Diagnosis, GAMES, The Gross Room| Read More 5