Faulty Wires Gallery Faulty Wires By Nicole Angemi|2025-12-27T11:52:05-05:00December 27th, 2025|The Gross Room, MEDICAL, Self-Harm, Mental Health| Read More 63
Sack of Potatoes Gallery Sack of Potatoes By Nicole Angemi|2025-12-20T09:58:56-05:00December 20th, 2025|Stab / Chop Wounds, Crime & Death Scenes, Assault, Death Investigation, Mental Health, TRUE CRIME, MOTHER KNOWS DEATH, The Gross Room, MEDICAL, OTHER DEATH| Read More 60
Lindsay Clancy & the Murders of the Clancy Children: High Profile Death Dissection ???? Gallery Lindsay Clancy & the Murders of the Clancy Children: High Profile Death Dissection ???? By Nicole Angemi|2025-11-05T08:34:02-05:00November 3rd, 2025|DISSECTIONS, LISTEN, Pregnancy, Strangulation, Self-Harm, Mental Health, TRUE CRIME, The Gross Room| Read More 30
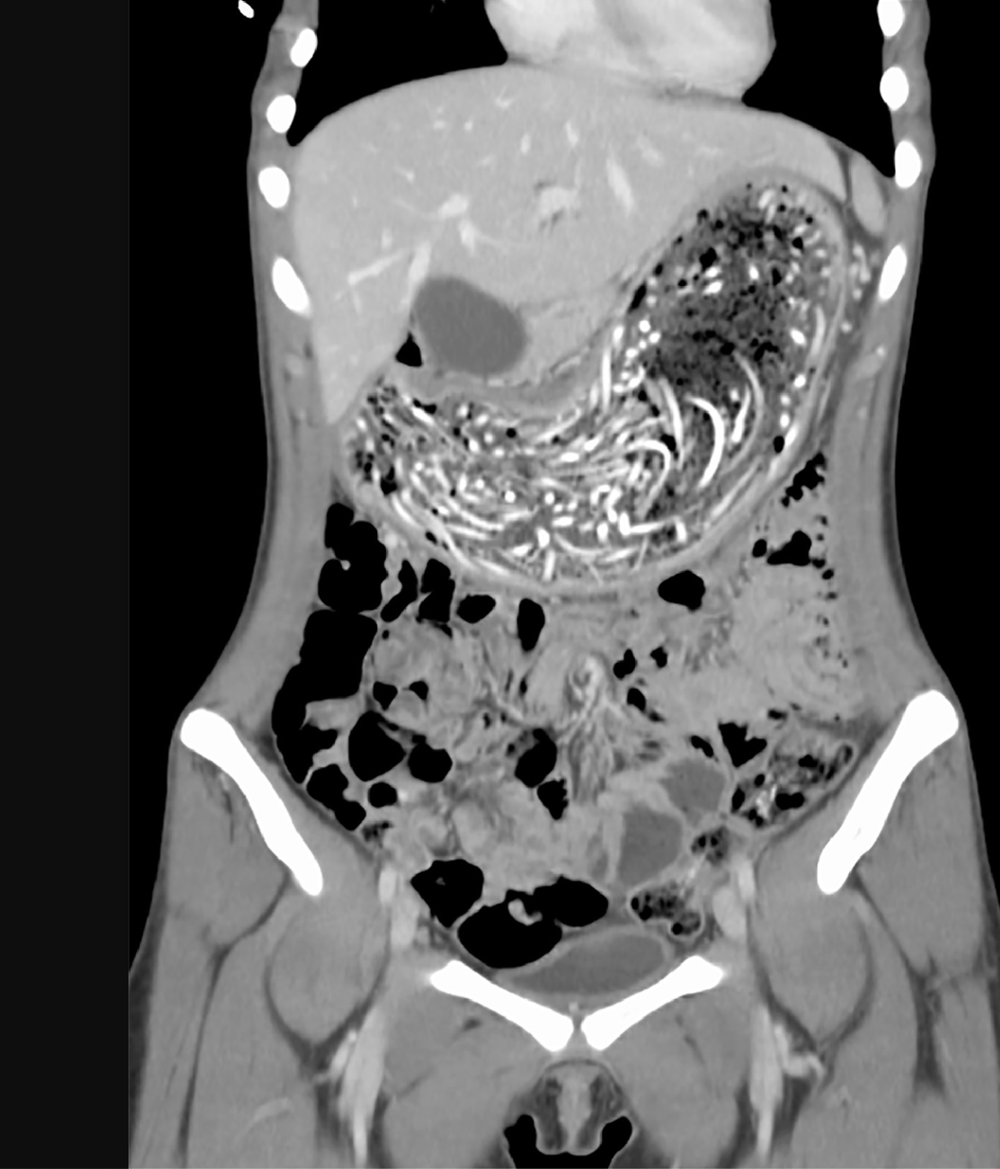
Mystery Diagnosis: Ingested Hair Ties! Gallery Mystery Diagnosis: Ingested Hair Ties! By Nicole Angemi|2025-10-27T20:49:26-04:00October 27th, 2025|The Gross Room, MEDICAL, Foreign Bodies, Chronic Medical Conditions, Mental Health| Read More 4
Forensic Friday: Virtopsies Gallery Forensic Friday: Virtopsies By Nicole Angemi|2025-10-24T15:27:18-04:00October 24th, 2025|Strangulation, Self-Harm, Death Investigation, Mental Health, Changes After Death, The Gross Room, MEDICAL, OTHER DEATH| Read More 13
So Metal Gallery So Metal By Nicole Angemi|2025-10-08T12:15:50-04:00October 8th, 2025|The Gross Room, MEDICAL, Self-Harm, Addictions, Chronic Medical Conditions, Mental Health| Read More 16
Mystery Diagnosis: Plica neuropathica! Gallery Mystery Diagnosis: Plica neuropathica! By Nicole Angemi|2025-10-06T13:01:41-04:00October 6th, 2025|Chronic Medical Conditions, Mental Health, The Gross Room, MEDICAL, Mystery Diagnosis| Read More 6
Forensic Friday: Psychology or Psycho Gallery Forensic Friday: Psychology or Psycho By Nicole Angemi|2025-10-02T17:19:55-04:00October 3rd, 2025|OTHER DEATH, Crime & Death Scenes, Assault, Death Investigation, Mental Health, Dismemberment, TRUE CRIME, The Gross Room, MEDICAL| Read More 9
Hot Shot Gallery Hot Shot By Nicole Angemi|2025-09-28T21:34:36-04:00September 28th, 2025|The Gross Room, MEDICAL, Self-Harm, Death Investigation, Mental Health| Read More 23
Raw Diet Gallery Raw Diet By Nicole Angemi|2025-09-21T09:51:51-04:00September 20th, 2025|Death Investigation, Mental Health, Dismemberment, TRUE CRIME, The Gross Room, OTHER DEATH, Crime & Death Scenes, Assault| Read More 12