The Curious Case of Exploding Teeth Gallery The Curious Case of Exploding Teeth By Maria Q. Kane|2024-10-04T12:03:39-04:00May 1st, 2024|Dental, The Gross Room, MEDICAL, Historical| Read More 22
Mike Williams: Celebrity Death Dissection ???? Gallery Mike Williams: Celebrity Death Dissection ???? By Nicole Angemi|2024-09-16T11:54:24-04:00January 8th, 2024|The Gross Room, MEDICAL, CELEBRITY, LISTEN, Dental| Read More 29
Is That the Same Person? Gallery Is That the Same Person? By Nicole Angemi|2025-05-14T13:50:06-04:00December 26th, 2023|Decapitation, TRUE CRIME, The Gross Room, Death Investigation, Dental| Read More 14
Behind Every Smile Gallery Behind Every Smile By Nicole Angemi|2025-05-14T14:00:39-04:00December 16th, 2023|The Gross Room, Strangulation, Dental, TRUE CRIME| Read More 20
Not a Fairy Tale Ending Gallery Not a Fairy Tale Ending By Nicole Angemi|2025-05-21T09:37:11-04:00October 5th, 2023|The Gross Room, MEDICAL, Dental, Mental Health| Read More 24
It’s Martini Time! Gallery It’s Martini Time! By Nicole Angemi|2025-05-21T12:49:13-04:00July 20th, 2023|The Gross Room, FREAK ACCIDENT, Transportation, Burns, Death Investigation, Dental| Read More 12
Cringe Worthy Gallery Cringe Worthy By Nicole Angemi|2025-05-26T09:22:15-04:00April 21st, 2023|The Gross Room, FREAK ACCIDENT, Transportation, Dental| Read More 34
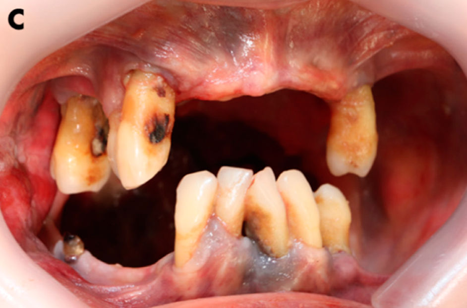
Poor Teeth, Poor Health Gallery Poor Teeth, Poor Health By Nicole Angemi|2025-08-14T09:57:14-04:00January 28th, 2023|Dental, The Gross Room, MEDICAL, Infection| Read More 31
Unusual Cause of Appendicitis Gallery Unusual Cause of Appendicitis By Nicole Angemi|2025-08-14T13:00:57-04:00September 9th, 2022|The Gross Room, FREAK ACCIDENT, Foreign Bodies, Dental| Read More 15
Fleshy Fangs Gallery Fleshy Fangs By Nicole Angemi|2025-08-28T11:32:09-04:00August 21st, 2022|MEDICAL, Cancer, Dental, The Gross Room| Read More 36